Портативный ультразвуковой сканер Mindray M7
Краткое описание:
- Легкая портативная конструкция;
- Специальная тележка для установки и транспортировки;
- Перезаряжаемый аккумулятор;
- Комплексное решение DICOM.
Производитель: Mindray
Портативная переносная система цветной допплерографии М7 отличается самой высокой функциональностью. УЗ-сканер M7 оснащен специальным пакетом опций для кардиологических обследований и простым в использовании программным обеспечением для организации рабочего процесса, является идеальным выбором для профессионалов, ставящих качество превыше всего.
Функции Mindray M7
Датчики на основе технологии 3T
Датчики созданы на основе технологии, запатентованной компанией Mindray, и обеспечивают увеличение пропускной способности изображения и эффективности передачи сигнала.
Данная технология обеспечивает повышение чувствительности, увеличение пропускной способности, а также улучшение соотношения сигнал/шум
- Технология total-cut обеспечивает снижение уровня переходных помех, улучшает направленность, а также увеличивает латеральное разрешение
- Терморегулирование улучшает качество передачи акустического сигнала
PSHI™(гармоническая визуализация с фазовым сдвигом)
Изолированная гармоническая визуализация для улучшения контрастного разрешения, обеспечивающая более четкое изображение с превосходным пространственным разрешением и меньшим уровнем шума.
iBeam™(визуализация с частичным компаундингом)
Позволяет использовать несколько углов сканирования для формирования единого изображения, что приводит к повышению контрастного разрешения и улучшению визуализации.
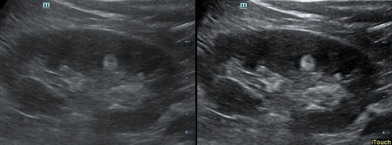
iClear™(визуализация с подавлением зернистости)
Позволяет улучшить качество изображения, основываясь на автоматическом распознавании структур.
- Более четкие края и контуры
- Плавное и однородное отображение тканей
- Снижение зернистости в «областях без эхосигнала»
Формирование мульти-луча
Увеличение скорости обработки сигнала от одного луча до 8 раз, что позволяет достигать превосходного разрешения по времени и более высокой частоты кадров.
Free Xros M™
Позволяет получить точные анатомические измерения посредством свободного размещения линий М-режима под любым углом. Оптимальное качество изображения достигается с помощью одновременного использования до 3 линий М-режима.
iScape™(панорамная визуализация в реальном времени)
Позволяет визуализировать протяженные анатомические структуры посредством панорамной визуализации. В сочетании с индикатором скорости и функцией прямого / обратного сканирования, делает процесс более легким, последовательным и управляемым.
ExFOV
В Вашем распоряжении окажется больше диагностической информации об анатомических структурах благодаря расширенному полю обзора на всех конвексных и линейных датчиках.
iNeedle™
Ваш инструмент для более глубокой биопсии: обеспечивает маневрирование УЗ-луча, чтобы улучшить видимость иглы, нервных волокон и мелких сосудов.
3D/4D визуализация
Функции 3D / 4D с возможностью поворота и синхронизации, которые гарантируют быстрый и легкий просмотр объемных изображений с любого направления.
Организация рабочего процесса Миндрей М7
iTouch™(автоматическая оптимизация изображения)
Позволяет M7 Premium выполнять мгновенную автоматическую оптимизацию изображения в режимах В, при цветном и импульсно-волновом допплере (PW) нажатием одной клавиши.
Auto IMT (автоматическое определение толщины комплекса интима-медиа)
Автоматическое измерение толщины передней и задней стенки, предоставляющее точную информацию о состоянии сонной артерии.
iStation™
Уникальная система управления информацией о пациенте от компании Mindray позволит Вам эффективно интегрировать, просматривать, архивировать и извлекать данные о пациенте..
iZoom™
Обеспечивает мгновенное переключение в полноэкранный режим нажатием одной клавиши.
iStorage™
Непосредственная передача изображений и отчетов на ПК по компьютерной сети
iRoam™
Решение для беспроводной передачи данных.
DICOM
Комплексное решение DICOM.
- Электорпитание:100~240V AC, 50/60 Hz;
- Размеры: 75 мм х 361 мм х 357 мм Высота 75 мм;
- Вес: 6,5 кг (с аккумуляторами и блоком 4D Mindray M7);
- 15-дюймовый жидкокристаллический дисплей высокого разрешения;
- Платформа Windows XP;
- Color - цветовое доплеровское картирование;
- PW - импульсно-волновой доплер;
- Power - энергетический доплер;
- Транскраниальный доплер;
- DirPower - направленный доплер, в т.ч. двунаправленный;
- HPRF - импульсный доплер для высоких скоростей потоков;
- Технология формирования тканевой гармоники THI;
- iClear™ - технология, обеспечивающая значительное снижение зернистости изображения для лучшего различия тканей; улучшает детализацию, увеличивая при этом диагностическую достоверность; увеличивает контрастное разрешение без изменения пространственного разрешения;
- iBeam™ – технология увеличения пространственного разрешения изображения без изменения частоты кадров для линейных датчиков;
- Фазово-инверсная гармоника;
- Режим расширения апертуры линейных датчиков;
- Режим увеличения пространственного разрешения изображения без изменения частоты кадров для линейных датчиков;
- iTouch - функция автоматической оптимизации изображения одной кнопкой в режимах B и PW/CW;
- iZoom™ – автоматическое увеличение изображения на размер экрана одной кнопкой без потери качества и детализации;
- Встроенный жесткий диск емкостью 160 Гб;
- Система накопления и хранения данных о пациентах;
- USB-порт - 2 шт;
- Ethernet порт;
- Порт S-Video (выход);
- Многоязычный интерфейс;
- Один разъем для подключения датчика;
- Аккумуляторная батарея;
- Кейс на колесиках.






